Assessment of the impact of physical and chemical factors of the production environment on the morphological state of target organs in an animal experiment
- Authors: Savchenko O.A.1, Ogudov A.S.1, Novikova I.I.1, Chuenko N.F.1,2, Savchenko O.A.3
-
Affiliations:
- Novosibirsk Research Institute of Hygiene
- Novosibirsk State Agricultural University
- Omsk State Medical University
- Issue: Vol 12, No 4 (2023)
- Pages: 114-121
- Section: Biological Sciences
- URL: https://snv63.ru/2309-4370/article/view/634309
- DOI: https://doi.org/10.55355/snv2023124117
- ID: 634309
Cite item
Full Text
Abstract
The study of the morphological state of target organs of outbred (nonlinear) laboratory mice ICR (CD-1), which were under prolonged dynamic influence of physical and chemical factors of the production environment under model conditions, is of wide research interest, as it allows to assess the impact of these factors at the tissue and cellular level and to identify the presence of pathological changes in relation to the group control that was not exposed to the studied factors of the production environment during the 90-day experiment, which has clinical and practical significance. When assessing the 90-day dynamics (from 0 days – 6 months (background) to 30–60–90 days – 7–8–9 months) of the impact of environmental factors on the morphological state of tissues and organs of outbred (nonlinear) laboratory mice ICR (CD-1), generally accepted and unified methods were used. Animals (weighing 45–50 gr., sexually mature age – 6 months) were divided into 3 experimental groups (vibration exposure, noise exposure, chemical exposure) of 30 individuals each (15 females and 15 males) and 1 control group (15 females and 15 males), kept in standard comfortable conditions, and not exposed to the factors of the production environment. The experiment was conducted in accordance with the rules adopted by the European Convention for the Protection of Animals Used for Experimental Scientific Purposes (Strasbourg, 1986), after approval by the Ethical commission of the Novosibirsk Research Institute of Hygiene of Rospotrebnadzor. Statistical processing of the research materials was carried out using standard Statistica 10.0 application programs. The morphological analysis of the target organs of experimental animals revealed the presence of a complex of pathological changes in the 90-day dynamics of the impact of factors of the production environment, compared with the morphological state of the organs in the control group. The results obtained have clinical and practical significance, as they allow us to justify preventive measures aimed at preventing the negative impact of long-term production factors on the labor contingent. Further study of the morphological state of target organs of ICR laboratory mice exposed to prolonged dynamic exposure to physical and chemical factors of the production environment under model conditions will contribute to the establishment of mechanisms for the development of occupational diseases and the development of scientifically based medical and hygienic measures aimed at preserving the health of the labor contingent in the management of labor longevity.
Full Text
Введение
Факторы производственной среды (руководство Р 2.2.2006-05) по их физико-химическим свойствам подразделяют на группы: факторы физической природы (вибрация, шум, ионизирующая радиация, электромагнитное излучение и др.), химической природы (толуол, ксилол, бензин, ацетон, хлор, трихлорэтилен, азот под давлением, ацетилен, четыреххлористый углерод и др.), биологические (патогенные микроорганизмы, микроорганизмы продуценты (в биотехнологиях), живые клетки и споры, содержащиеся в препаратах, грибы, простейшие и гельминты), факторы перенапряжения органов и систем организма человека (нервная система; сердечно-сосудистая система, опорно-двигательный аппарат, орган зрения, голосовой аппарат и др.), аллергические (ГОСТ 12.1.003-2014, ГОСТ 12.0.003-2015).
Оценка влияния факторов производственной и окружающей среды: шума [1–5], вибрации [6; 7], химически активных веществ [8–10] на состояние здоровья и морфологическое состояние органов-мишеней в модельных условиях, представляет широкий исследовательский интерес при оценке риска [11–13]. Однако хроническое воздействие производственных факторов на работников, в ряде случаев все же приводит к ухудшению состояния их здоровья, в том числе и к развитию профессиональных заболеваний [14], а также к значительному снижению комфортности условий труда [15], что требует принятия комплекса мер в области снижения последствий влияния производственных факторов на организм человека [16].
Моделирование хронического изолированного воздействия физических и химических факторов у лабораторных животных, имеет клинический и практический интерес, так как позволяет установить патологические изменения от влияния факторов производственной среды на тканевом и клеточном уровне, по отношению к группе контроля, что в свою очередь будет способствовать своевременному принятию комплекса профилактических мер, направленного на предупреждение профессионально обусловленных заболеваний у трудового контингента и населения, проживающего вблизи производственных объектов.
Цель исследования: оценить 90-дневную динамику воздействия физических и химических факторов производственной среды на морфологическое состояние органов-мишеней в эксперименте на животных.
Материалы и методы исследования
При оценке 90-дневной динамики (от 0 суток – 6 месяцев (фон) до 30–60–90 суток – 7–8–9 месяцев) воздействия факторов производственной среды на морфологическое состояние органов-мишеней аутбредных лабораторных мышей ICR (CD-1), использовались общепринятые и унифицированные методы. Использовано 120 особей обоего пола, половозрелого возраста (6 мес.), массой 45–50 г, которые после фоновых исследований были распределены на 3 опытные группы (экспериментальная группа № 1 (воздействие вибрации: 40–200 Гц в вибрационной камере по 0,5 часа 5 дней в неделю); экспериментальная группа № 2 (воздействие шума: 75–90 дБА в шумовой камере по 0,5 часа 5 дней в неделю); экспериментальная группа № 3 (ингаляционное воздействие 4-компонентной смесью углеводородов: ксилол, бензин, толуол, ацетон в концентрациях, равных 1,5 величин ПДК в 200-литровых затравочных камерах по 0,5 часа 5 дней в неделю) по 30 особей в каждой (15 самок и 15 самцов) и 1 контрольную группу (интактные животные: 15 самок и 15 самцов), содержащихся в виварии отдела токсикологии с санитарно-химической лабораторией ФБУН «Новосибирский НИИ гигиены» Роспотребнадзора в стандартных комфортных условиях в соответствии с требованиями ГОСТ 33216-2014 [17] и не подвергавшихся воздействиям факторов производственной среды. В период адаптации и последующего 90-дневного эксперимента животных содержали в одинаковых стандартных условиях вивария (температура воздуха +22…+26°C, относительная влажность 40–75%, 12-часовой световой день), вода и пища в свободном доступе [17; 18]. Через каждые 30 дней (в 90-дневной динамике) после воздействия производственных факторов животных анестезировали и производили забор органов для гистопатологических исследований. Органы после взвешивания фиксировали в течение 24 ч. при +4°C в свежем забуференном 10% формалине. После фиксации и промывки в 0,1 М фосфатном буфере (pH 7,2) исследуемые образцы помещали в парафиновые блоки и получали срезы толщиной 10 мкм с использованием микротома, после депарафинирования срезы окрашивали гематоксилином-эозином по стандартной методике [19].
Опыты на животных проводили согласно директивы 2010/63/EU Европейского парламента и Совета ЕС по охране животных, используемых в научных целях [20–22], после одобрения этической комиссией ФБУН «Новосибирский НИИ гигиены» Роспотребнадзора. Статистическую обработку материалов исследования проводили по стандартным прикладным программам Statistica 10.0 [23].
Полученные результаты и их обсуждение
Морфологический анализ органов и тканей подопытных животных выявил наличие комплекса патологических изменений в 90-дневной динамике воздействия факторов производственной среды, по сравнению с морфологическим состоянием органов в группе контроля. Наиболее часто встречающимися нарушениями в миокарде были неравномерное кровенаполнение, эритроцитарные тромбы в сосудах, дистрофия кардиомиоцитов, очаги лимфоидной инфильтрации; в печени – неравномерное кровенаполнение полнокровие центральных вен и синусоидов, расширение центральных вен, дистрофия гепатоцитов; в легких – неравномерное кровенаполнение, очаговые кровоизлияния, утолщение стенок сосудов с гиалинозом, утолщение межальвеолярных перегородок, полнокровие с очаговой лимфоцитарной инфильтрацией; в почках – неравномерное кровенаполнение, очаговая лимфоцитарная инфильтрация стромы дистрофия эпителия извитых канальцев нарушения эпителия выводных протоков; в селезенке – неравномерное кровенаполнение и гиперплазия лимфоидной ткани. Частота патологий значимо (Манн–Уитни тест; P > 0,05) не различалась у особей разного пола. Частота и степень тяжести патологий повышалась с возрастом животных (табл. 1).
Таблица 1 – Балльная оценка частоты встречаемости и степени тяжести патологий внутренних органов у подопытных животных на 90-е сутки эксперимента (данные по самцам и самкам объединены)
Исследуемые стадии воздействия | Исследуемый орган | ||||
Миокард | Печень | Легкие | Почки | Селезенка | |
Контроль (интактные животные) | 1 ± 0,2 | 1 ± 0,2 | 1 ± 0,3 | 1 ± 0,2 | 1 ± 0,1 |
Э1 (воздействие вибрации) | 1,5 ± 0,2 | 1,6 ± 0,2 | 1,8 ± 0,3 | 1,6 ± 0,2 | 1,5 ± 0,1 |
Э2 (воздействие шума) | 1,6 ± 0,2 | 1,6 ± 0,2 | 1,9 ± 0,2 | 1,9 ± 0,2 | 1,7 ± 0,1 |
Э3 (химическое воздействие) | 2,3 ± 0,2 | 4,8 ± 0,2 | 4,8 ± 0,2 | 2,8 ± 0,2 | 2,0 ± 0,1 |
Краскелл–Уоллес тест | P < 0,05 | P < 0,05 | P < 0,05 | P < 0,05 | н/д |
Примечание. 1 – норма; 2 – умеренные изменения, 3 – выраженные изменения; 4 – ярко выраженная патология; 5 – патология, приведшая к гибели животного.
Ткань миокарда
При окрашивании срезов миокарда испытуемых групп гематоксилин-эозином показано, что у особей, находившихся 90 суток под периодическим воздействием неблагоприятных факторов производственной среды (вибрации, шума, химического воздействия), возникают морфологические изменения ткани миокарда от умеренных до выраженных, по сравнению с контрольной группой, содержавшейся в комфортных условиях (рис. 1: А, Б, В, Г). Не наблюдается различий в структуре миокарда между самцами и самками животных.
Рисунок 1 – Морфологическое состояние миокарда у лабораторных животных на 90 день эксперимента: А – контрольная группа, Б – экспериментальная группа № 1, В – экспериментальная группа № 2, Г – экспериментальная группа № 3 (масштабная линейка – 200 кВ)
В срезах ткани миокарда в группе контроля (интактные животные), ткань умеренно полнокровна, кардиомиоциты расположены плотно с наличием тонких, рыхлых соединительно-тканных прослоек и мелких капилляров, кардиомиоциты содержат 1–2 ядра, эндокард представлен эндотелиальными клетками обычного строения, эпикардиальная жировая клетчатка не выражена, практически не определяется, поверхность эпикарда покрыта мезотелиальными клетками обычного строения.
В срезах ткани миокарда в экспериментальной группе № 1 (воздействие вибрации) – 1-я опытная – выявлены структурные изменения: неравномерное кровенаполнение, в паретически расширенных сосудах смешанные и эритроцитарные тромбы, отек межуточной ткани, дистрофия кардиомиоцитов.
В срезах ткани миокарда в экспериментальной группе № 2 (воздействие шума) – 2-я опытная – выявлены структурные изменения: неравномерное кровенаполнение, эритроцитарные тромбы в сосудах, в отдельных – мелкоочаговые скопления лимфоцитов, дистрофия кардиомиоцитов, отек межуточной ткани.
В срезах ткани миокарда в экспериментальной группе № 3 (химическое воздействие) – 3-я опытная – выявлены структурные изменения: неравномерное кровенаполнение, в паретически расширенных сосудах эритроцитарные тромбы, дистрофия кардиомиоцитов, отек межуточной ткани. Частично стенки артерий частично утолщены.
Ткань печени
На срезах ткани печени контрольной группы (интактные животные) визуализируется ровная гладкая капсула. Дольчатое строение паренхимы сохранено, выявлена нормальная структура гепатоцитов. В печеночных балках гепатоциты с четкими контурами с ярко выраженной эозинофильной зернистостью. Центральные вены и межбалочные капилляры умеренно полнокровные. При сравнении морфологических изменений в ткани печени испытуемых групп установлено, что у особей, находившихся 90 суток под периодическим воздействием неблагоприятных факторов производственной среды (вибрации, шума, химического воздействия), возникают выраженные морфологические изменения тканей печени, по сравнению с контрольной группой, содержавшейся в комфортных условиях (рис. 2: А, Б, В, Г). Не наблюдается различий в структуре печени между самцами и самками животных.
Рисунок 2 – Морфологическое состояние печени у лабораторных животных на 90 день эксперимента: А – контрольная группа, Б – экспериментальная группа № 1, В – экспериментальная группа № 2, Г – экспериментальная группа № 3 (масштабная линейка – 200 кВ)
В срезах ткани печени в группе контроля (интактные животные), ткань умеренно полнокровна, структура строения сохранена, представлена дольками обычного строения, портальные тракты содержат небольшое количество рыхлой волокнистой соединительной ткани с наличием типичной триады (артерия, вена, желчные капилляры – протоки), печеночные балки радиально отходят от портальных трактов, расположенные между балками синусоиды выстланы эндотелиальными клетками обычного строения, центральные вены хорошо просматриваются, гепатоциты полигональной формы с наличием сферического ядра с чётко визуализируемыми ядерными включениями и 1–2 ядрышками, цитоплазма гепатоцитов зернистая.
В срезах ткани печени в экспериментальной группе № 1 (воздействие вибрации) – 1-я опытная – выявлены структурные изменения: неравномерное кровенаполнение, полнокровие центров долек, центральные вены паретически расширены, с наличием в просвете эритроцитарных и смешанных тромбов, дистрофия гепатоцитов, наличие двуядерных гепатоцитов.
В срезах ткани печени в экспериментальной группе № 2 (воздействие шума) – 2-я опытная – выявлены структурные изменения: неравномерное кровенаполнение, полнокровие центров долек, центральные вены паретически расширены, с наличием в просвете эритроцитарных и смешанных тромбов, дистрофия гепатоцитов, наличие двуядерных гепатоцитов.
В срезах ткани печени в экспериментальной группе № 3 (химическое воздействие) – 3-я опытная – выявлены структурные изменения: неравномерное кровенаполнение, выраженное полнокровие центров долек, центральные вены паретически расширены, с наличием в просвете эритроцитарных и смешанных тромбов, дистрофия гепатоцитов, наличие двуядерных гепатоцитов. единичные тельца Каунсильмена. очаговая лимфоцитарная инфильтрация периаортальных трактов.
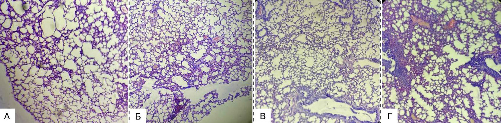
Ткань легкого
На срезе тканей легкого контрольной группы (интактные животные), наблюдалась нормальная гистологическая картина: ткань умеренно полнокровна, воздушна, альвеолы расправлены, внутренние стенки альвеол выстланы альвеолоцитами 1 и 2 порядка, бронхиальное дерево передавлено крупными, средними, мелкими бронхами и терминальными бронхиолами, внутренняя выстилка бронхиол – кубический однорядный эпителий с базально расположенными ядрами, слизистая оболочка бронхов мелкого калибра складчатая, мышечно-фиброзная оболочка бронхиол хорошо выражена, наружная оболочка крупных бронхов с наличием островков хрящевых пластин, в подслизистом слое присутствуют слизистые железы. При сравнении морфологических изменений в тканях легких испытуемых групп установлено, что у особей, находившихся 90 суток под периодическим воздействием неблагоприятных факторов производственной среды (вибрации, шума, химического воздействия), возникают выраженные морфологические изменения тканей легкого, по сравнению с контрольной группой, содержавшейся в комфортных условиях и не подвергавшейся воздействию факторов производственной среды (рис. 3: А, Б, В, Г). Не наблюдается различий в структуре печени между самцами и самками животных.
Рисунок 3 – Морфологическое состояние лёгкого у лабораторных животных на 90 день эксперимента: А – контрольная группа, Б – экспериментальная группа № 1, В – экспериментальная группа № 2, Г – экспериментальная группа № 3 (масштабная линейка – 200 кВ)
В срезах ткани легкого в экспериментальной группе № 1 (воздействие вибрации) – 1-я опытная – выявлены структурные изменения: неравномерное кровенаполнение, ткань воздушная, участки эмфиземы и ателектазов, в просвете сосудов смешанные тромбы, в просвете части альвеол отечная жидкость.
В срезах ткани легкого в экспериментальной группе № 2 (воздействие шума) – 2-я опытная – выявлены структурные изменения: неравномерное кровенаполнение, ткань воздушная, крупные участки эмфиземы и ателектазов, в просвете сосудов-эритроцитарные тромбы, эпителий части бронхиол уплощен, очаговая периваскулярная лимфоцитарная инфильтрация.
В срезах ткани легкого в экспериментальной группе № 3 (химическое воздействие) – 3-я опытная – выявлены структурные изменения: ткань неравномерноего кровенаполнения, в сосудах эритроцитарные тромбы, участки ателектазов и эмфиземы, выраженная перибронхиальная инфильтрация с разрущением стенки, среди клеток инфильтрата наличие лейкоцитов, очагово межальвеолярные перегородки утолщены инфильтрированы лимфоцитами, периваскулярно и перибронхиально выраженная лимфоцитарная и лейкоцитарная инфильтрация.
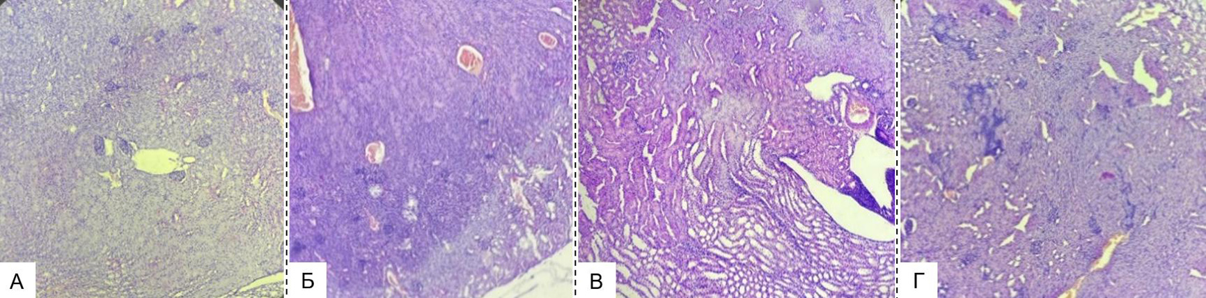
Ткань почек
На срезе тканей почек контрольной группы (интактные животные), наблюдалась нормальная гистологическая картина: ткань умеренно полнокровная, структура строения сохранена и представлена корковым и мозговым слоями; клубочки (мальпигиевые тельца) расположены равномерно, капсула клубочков (капсула Шумлянского–Боумена) плотно охватывают капиллярные петли, внутренняя выстилка капсулы представлена однослойным эпителием, приводящие и отводящие артериолы обычного строения; нефроны почки типичного строения, проксимальные и дистальные канальцы и петли Генли выстланы однорядным эпителием; сосудистая система почки представлена артериальной и венозной сетью, а также капиллярной системой охватывающей стенки нефронов. При сравнении морфологических изменений в ткани почек испытуемых групп установлено, что у особей, находившихся 90 суток под периодическим воздействием неблагоприятных факторов производственной среды (вибрации, шума, химического воздействия), возникают выраженные морфологические изменения тканей почек, по сравнению с контрольной группой, содержавшейся в комфортных условиях (рис. 4: А, Б, В, Г). Не наблюдается различий в структуре печени между самцами и самками животных.
Рисунок 4 – Морфологическое состояние почек у лабораторных животных на 90 день эксперимента: А – контрольная группа, Б – экспериментальная группа № 1, В – экспериментальная группа № 2, Г – экспериментальная группа № 3 (масштабная линейка – 200 кВ)
В срезах ткани почек в экспериментальной группе № 1 (воздействие вибрации) – 1-я опытная – выявлены структурные изменения: неравномерное полнокровие, очаговая лимфоцитарная инфильтрация стромы, дистрофия эпителия канальцев с набуханием клеток и с сужением просвета канальцев, в корковом слое – часть канальцев с наличием апикальных некрозов эпителия, часть сосудов паретически расширены с наличием эритроцитарных тромбов.
В срезах ткани почек в экспериментальной группе № 2 (воздействие шума) – 2-я опытная – выявлены структурные изменения: неравномерное полнокровие, очаговая лимфоцитарная инфильтрация стромы, дистрофия эпителия канальцев с набуханием клеток и с сужением просвета канальцев, в корковом слое-часть канальцев с наличием апикальных некрозов эпителия, часть сосудов паретически расширены с наличием эритроцитарных тромбов, в клубочках – очаговая пролиферация клеток мезангия, тромбоз капиллярных петель.
В срезах ткани в экспериментальной группе № 3 (химическое воздействие) – 3-я опытная – выявлены структурные изменения: неравномерное полнокровие, выраженная очаговая лимфоцитарная инфильтрация стромы, дистрофия эпителия канальцев с набуханием клеток и с сужением просвета канальцев, часть канальцев с наличием апикальных некрозов эпителия, часть сосудов паретически расширены с наличием эритроцитарных тромбов, в клубочках – очаговая пролиферация клеток мезангия, тромбоз капиллярных петель, часть клубочков ишемически сморщены.
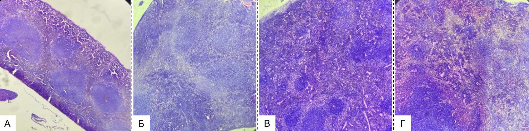
Ткань селезенки
При окрашивании срезов селезенки испытуемых групп гематоксилин-эозином показано, что у особей, находившихся 90 суток под периодическим воздействием неблагоприятных факторов производственной среды (вибрации, шума, химического воздействия), возникают выраженные морфологические изменения ткани селезенки, по сравнению с контрольной группой (интактные животные), содержавшейся в комфортных условиях (рис. 5: А, Б, В, Г).
Рисунок 5 – Морфологическое состояние селезенки у лабораторных животных на 90 день эксперимента: А – контрольная группа, Б – экспериментальная группа № 1, В – экспериментальная группа № 2, Г – экспериментальная группа № 3 (масштабная линейка – 200 кВ)
В срезах ткани селезенки в группе контроля (интактные животные) отчетливо визуализируются плотная соединительнотканная капсула, с отходящими от капсулы вглубь трабекулами, ткань умеренно полнокровная с хорошо выраженными с четкими контурами лимфоидными фоликуллами с наличием крупных центров размножениями и пульпарных (центральных) артерий, межфолликулярная красная пульпа преимущественно заполнена эритроцитами находящихся среди нежных ретикулиновых волокон, венозных синусов, сосудов артериального типа, макрофагов и плазматических клеток.
В срезах ткани селезенки в экспериментальной группе № 1 (воздействие вибрации) – 1-я опытная – выявлены структурные изменения: неравномерное кровенаполнение, лимфоидные фолликулы различных размеров, без центров размножения, большое количество мегакариоцитов.
В срезах ткани селезенки в экспериментальной группе № 2 (воздействие шума) – 2-я опытная – выявлены структурные изменения: неравномерное кровенаполнение, лимфоидные фолликулы различных размеров, центры размножения не определяются, большое количество мегакариоцитов.
В срезах ткани селезенки в экспериментальной группе № 3 (химическое воздействие) – 3-я опытная – выявлены структурные изменения: неравномерное кровенаполнение, участки кровоизлияний, лимфоидные фолликулы различных размеров, с наличием в единичных фолликулах центров размножения, умеренное количество мегакариоцитов.
Обсуждение
В доступной литературе мы не обнаружены работ, оценивающих воздействие факторов риска на здоровье модельных животных от изолированного действия смеси углеводородов, шума и вибрации на морфологическое состояние органов-мишеней, и провели данное экспериментальное исследование.
Результаты эксперимента по оценке воздействия физических и химических факторов производственной среды на морфологическое состояние исследуемых органов (миокард, печень, легкое, почка, селезенка), мелких лабораторных животных (по результатам гистологических исследований внутренних органов лабораторных мышей ICR) свидетельствуют о наличии морфологических изменений в исследуемых органах 1–3 опытных групп в результате воздействия факторов производственной среды (вибрации, шума, химического воздействия) по сравнению с группой контроля (не подвергавшихся воздействию неблагоприятных факторов производственной среды – комфортные условия содержания на протяжении 90-дневного эксперимента).
Морфологические изменения в миокарде в исследуемых группах (в экспериментальной группе № 1, № 2, и № 3 – 1-я, 2-я и 3-я опытные) проявляются преимущественно сосудистыми и дистрофическими нарушениями, данные изменения могут быть связаны с воздействием неблагоприятных факторов производственной среды (вибрации, шума, химического воздействия), и, как следствие, возникших патологических изменений в легких и почках.
Морфологические изменения в печени в исследуемых группах (в экспериментальной группе № 1, № 2, и № 3 – 1-я, 2-я и 3-я опытные), характерны для токсического воздействия на печень как внутренних, так и внешних агентов и связаны с наличием выраженных воспалительных изменений в организме животных (легкие, почки), дистрофия гепатоцитов с повреждениями клеток вплоть до некроза.
Морфологические изменения в легких и почках в исследуемых группах (в экспериментальной группе № 1, № 2, и № 3 – 1-я, 2-я и 3-я опытные) мало отличаются по выраженности, обнаруженные воспалительные изменения непосредственно связаны с воздействием неблагоприятных факторов производственной среды (вибрации, шума, химического воздействия).
Морфологические изменения в селезенке в исследуемых группах (в экспериментальной группе № 1, № 2, и № 3 – 1-я, 2-я и 3-я опытные) под воздействием неблагоприятных внешних факторов на селезенку выразилось в гиперпластических процессах, существенно не отличающихся между собой в 1–3 опытных группах.
Более выраженные изменения во внутренних органах наблюдались у самцов экспериментальной группы № 3 (химическое воздействие) – 3-я опытная (в миокарде – неравномерное кровенаполнение, эритроцитарные тромбы в сосудах, дистрофия кардиомиоцитов, очаги лимфоидной инфильтрации; в печени – неравномерное кровенаполнение полнокровие центральных вен и синусоидов, расширение центральных вен, дистрофия гепатоцитов; в легких – неравномерное кровенаполнение, очаговые кровоизлияния, утолщение стенок сосудов с гиалинозом, утолщение межальвеолярных перегородок, полнокровие с очаговой лимфоцитарной инфильтрацией; в почках – неравномерное кровенаполнение, очаговая лимфоцитарная инфильтрация стромы дистрофия эпителия извитых канальцев нарушения эпителия выводных протоков; в селезенке – неравномерное кровенаполнение и гиперплазия лимфоидной ткани) установлены у самцов мышей на 90-е сутки эксперимента в экспериментальной группе № 3 (химическое воздействие) – 3-я опытная, по сравнению с группой контроля).
Заключение
Полученные данные гистологического анализа свидетельствуют о наличии патологических изменений во внутренних органах у особей практически всех экспериментальных групп животных, подвергавшихся негативному влиянию производственных факторов, в значениях, близких к нормируемым показателям, но имеющих тренд длительного воздействия (вплоть до гибели 3 самцов из группы химического воздействия на 90-е сутки эксперимента).
Дальнейшее изучение морфологического состояния органов-мишеней лабораторных мышей ICR, подвергавшихся длительному динамическому воздействию физических и химических факторов производственной среды в модельных условиях, будет способствовать установлению механизмов развития профессиональных заболеваний и разработке научно обоснованных медико-гигиенических мероприятий, направленных на сохранение здоровья трудового контингента в управлении трудовым долголетием. Статья может представлять интерес для практических специалистов в области морфологии, гигиены, геронтологии, физиологии, ветеринарии, а также для научных работников и обучающихся вузов, контактирующих с лабораторными животными как объектами научных исследований.
About the authors
Oleg A. Savchenko
Novosibirsk Research Institute of Hygiene
Author for correspondence.
Email: savchenkooa1969@mail.ru
candidate of biological sciences, leading researcher of Toxicological Department with Sanitary-Chemical Laboratory
Russian Federation, NovosibirskAlexander S. Ogudov
Novosibirsk Research Institute of Hygiene
Email: ogudov.tox@yandex.ru
candidate of medical sciences, head of Toxicological Department with Sanitary-Chemical Laboratory
Russian Federation, NovosibirskIrina I. Novikova
Novosibirsk Research Institute of Hygiene
Email: novikova_ii@niig.su
doctor of medical sciences, professor, director
Russian Federation, NovosibirskNatalya F. Chuenko
Novosibirsk Research Institute of Hygiene; Novosibirsk State Agricultural University
Email: natali26.01.1983@yandex.ru
researcher of Toxicological Department with Sanitary-Chemical Laboratory, postgraduate student of Ecology Department
Russian Federation, Novosibirsk; NovosibirskOlga A. Savchenko
Omsk State Medical University
Email: olgasav1978@mail.ru
candidate of medical sciences, associate professor of Hospital Pediatrics with a Course of Additional Professional Education Department;
Russian Federation, OmskReferences
- Gannouni N., Mhamdi A., El May M., Tebourbi O., Rhouma K.B. Morphological changes of adrenal gland and heart tissue after varying duration of noise exposure in adult rat // Noise & health. 2014. Vol. 16 (73). P. 416–421. doi: 10.4103/1463-1741.144424.
- Sheppard A., Ralli M., Gilardi A., Salvi R. Occupational noise: auditory and non-auditory consequences // International Journal of Environmental Research and Public Health. 2020. Vol. 17 (23). doi: 10.3390/ijerph17238963.
- Abouee-Mehrizi A., Rasoulzadeh Y., Moucheshi S., Mehdipour A. Histopathological Changes Caused by Noise Exposure in Lung, Heart, Kidney, and Liver Tissues in New Zealand White Rabbits // Journal of Air Pollution and Health. 2021. Vol. 6, iss. 4. P. 257–264. doi: 10.18502/japh.v6i4.8584.
- Li X., Zheng P., Cao W., Zheng P. Lactobacillus rhamnosus GG ameliorates noise-induced cognitive deficits and systemic inflammation in rats by modulating the gut-brain axis // Frontiers in Cellular and Infection Microbiology. 2023. Vol. 13. doi: 10.3389/fcimb.2023.1067367.
- Basner M., Babisch W., Davis A., Brink M., Clark C., Janssen S., Stansfeld S. Auditory and non-auditory effects of noise on health // Lancet. 2014. Vol. 383, iss. 9925. P. 1325–1332. doi: 10.1016/s0140-6736(13)61613-x.
- Кирьяков В.А., Павловская Н.А., Лапко И.В., Богатырёва И.А., Антошина Л.И., Ошкодеров О.А. Воздействие производственной вибрации на организм человека на молекулярно-клеточном уровне (аналитический обзор литературы) // Медицина труда и промышленная экология. 2018. № 9. С. 34–43. doi: 10.31089/1026-9428-2018-9-34-43.
- Thaper R., Sesek R., Garnett R., Acosta-Sojo Y., Purdy G.T. The Combined Impact of Hand-Arm Vibration and Noise Exposure on Hearing Sensitivity of Agricultural/Forestry Workers-A Systematic Literature Review // International Journal of Environmental Research and Public Health. 2023. Vol. 28, № 20 (5). P. 4276. doi: 10.3390/ijerph20054276.
- Вредные вещества в промышленности. В 3-х т. Т. I. Органические вещества. Л.: Химия, 1976. 592 с.
- Xiao G., Pan C., Cai Y., Lin H., Fu Z. Effect of benzene, toluene, xylene on the semen quality and the function of accessory gonad of exposed workers // Industrial Health. 2001. Vol. 39, № 2. P. 206–210. doi: 10.2486/indhealth.39.206.
- Campisi M., Mastrangelo G., Mielżyńska-Švach D., Hoxha M., Bollati V., Baccarelli A.A., Carta A., Porru S., Pavanello S. The effect of high polycyclic aromatic hydrocarbon exposure on biological aging indicators // Environmental Health. 2023. Vol. 22. doi: 10.1186/s12940-023-00975-y.
- Шур П.З., Зайцева Н.В., Фокин В.А., Кирьянов Д.А., Хасанова А.А. Методические подходы к оценке персонального профессионального риска здоровью, обусловленного болезнями, связанными с работой, на протяжении всего периода трудовой деятельности // Анализ риска здоровью. 2021. № 1. С. 83–93.
- Дроздова Е.В., Сычик С.И., Грынчак В.А., Рябцева С.Н. Экспериментальные модели хронической патологии животных для оценки рисков здоровью чувствительных групп населения // Анализ риска здоровью. 2022. № 2. С. 185–195. doi: 10.21668/health.risk/2022.2.17.
- Rusyn I., Chiu W.A., Wright F.A. Model systems and organisms for addressing inter- and intra-species variability in risk assessment // Regulatory Toxicology and Pharmacology. 2022. Vol. 132. doi: 10.1016/j.yrtph.2022.105197.
- Зайнулина А.З., Нестерова О.В., Бирюкова Н.В. Факторы риска и профилактика шумового воздействия на организм человека // Тенденции развития науки. 2021. № 7. С. 69–74.
- Turcot A., Girard S.A., Courteau M., Baril J., Larocque R. Noise-induced hearing loss and combined noise and vibration exposure // Occupational Medicine. 2015. Vol. 65, iss. 3. P. 238–244. doi: 10.1093/occmed/kqu214.
- Масюк Н.Н., Куликова О.М., Савченко О.А., Усачева Е.В., Авадэни Ю.И. Методический подход к управлению знаниями и инновациями в сфере здравоохранения: тренды и тенденции развития новых медицинских технологий в области снижения последствий влияния производственных факторов на организм человека // Вестник Евразийской науки. 2023. Т. 15, № 6. https://esj.today/PDF/01ECVN623.pdf.
- ГОСТ 33216-2014. Руководство по содержанию и уходу за лабораторными животными. Правила содержания и ухода за лабораторными грызунами и кроликами. М.: Стандартинформ, 2016. 10 с.
- О нормах кормления лабораторных животных и продуцентов: приказ Министерства здравоохранения СССР от 10.03.1966 № 163 [Электронный ресурс] // Электронный фонд правовых и нормативно-технических документов. https://docs.cntd.ru/document/471810579.
- Chan P.T., Matanjun P., Yasir S., Tan T.S. Histopathological studies on liver, kidney and heart of normal and dietary induced hyperlipidaemic rats fed with tropical red seaweed Gracilaria changii // Journal of Functional Foods. 2015. Vol. 17. P. 20–213. doi: 10.1016/j.jff.2015.05.019.
- Европейская конвенция о защите позвоночных животных, используемых для экспериментов или в иных научных целях ETS N 123 (Страсбург, 18 марта 1986 г.) [Электронный ресурс] // Гарант.ру. https://base.garant.ru/4090914.
- Национальный стандарт Российской Федерации. Технологии лабораторные клинические. Обеспечение качества клинических лабораторных исследований. Ч. 4. Правила ведения преаналитического этапа // Лабораторная служба. 2013. № 2. С. 19–63.
- Guide for the care and use of laboratory animals. 8th edition. Washington: National Academies Press, 2011. 246 p.
- Гудинова Ж.В., Жернакова Г.Н., Толькова Е.И. Дружелюбная статистика. Статистический анализ медицинских баз данных: пошаговые инструкции. Омск: Омский государственный медицинский университет, 2014. 112 с.
Supplementary files







