The preliminary results of quality assessment of walnut fruits formed in the botanical garden of Samara University using a microfocus X-ray method
- Authors: Pomogaybin A.V.1, Rodionova P.V.1, Kavelenova L.M.1
-
Affiliations:
- Samara National Research University
- Issue: Vol 11, No 1 (2022)
- Pages: 106-113
- Section: Biological Sciences
- URL: https://snv63.ru/2309-4370/article/view/108330
- DOI: https://doi.org/10.55355/snv2022111113
- ID: 108330
Cite item
Full Text
Abstract
The growing interest in nuts as an undoubted essential component of a healthy diet, widespread in recent years, determines the expansion of nuts world cultivation areas, as well as the volume of seed production received. The reasons ensured the growing popularity of walnut as the oldest culture are not only the pleasant taste of the seeds («kernel»), widely used in food directly and as a component of various products, but also their unique chemical composition, including richness in proteins, vitamins and oil, in which essential polyunsaturated fatty acids are widely presented. The walnut is introduced into territories outside its natural area even now due to efforts of specialists working in the fields of plant introduction and selection as well as amateur enthusiasts who try to grow this valuable crop in their gardens. The introduction of species of Juglans L. genus into the Botanical Garden of Samara University began in the 1930s. As we know one of the goals of making a dendrological collection on the territory of the Samara Region was the introduction of new plant species, including walnut, which has valuable wood and fruits with high nutritional and taste properties, into forest plantations and gardens. The collection of walnut trees was created from seed samples received from various geographical locations (Saratov, Volgograd, Stavropol, Crimea, Ukraine, Moldova, Kyrgyzstan, Uzbekistan, etc.). The large-scale study of walnuts in the Samara (from 1936 to 1992 – Kuibyshev) Region faced climatic difficulties, but was always revived. Currently, the walnut collection contains about 900 specimens of genotypes of various origins, which are natural hybrids on their own roots. As a result of the introduction study of walnuts, extensive material has been collected; it is related to their stress resistance, structural and functional features. The paper presents the results of a preliminary X-ray screening of walnut fruits of the 2021 harvest from the dendrological collection of the Botanical Garden of Samara University, performed for trees of different ages and «genealogy» related to ordinary and accelerated forms of fruiting. The prospects of this research method for assessing the quality of nuts are shown. The dense shell of the seed and the features of its internal structure are not an obstacle to revealing the degree of development of the nucleus. The results obtained open up the possibility of a non-damaging express assessment of the quality of nuts as a specific seed material for the purpose of selection and a detailed study of their structural features.
Full Text
Введение
Орехи – плоды деревьев и кустарников, богатые липидами и белками [1, с. 74–104], с древнейших времен составляют часть рациона человека [2], однако в последние десятилетия интерес к ним как компонентам здорового питания существенно возрос [3, с. 607–616; 4, с. 1–28].
Орехоплодные древесные растения Самарской области, в силу как видового состава дендрофлоры, так и определяющих его природно-климатических условий, по существу ограничены единственным представителем – лещиной Corylus avellana L. в качестве компонента лесных сообществ, культурные сорта данного вида возделываются в любительском садоводстве. Интродукционные испытания видов рода Juglans L. (орех) в ботаническом саду Самарского университета и опыт включения некоторых орехов в лесонасаждения и объекты озеленения показали принципиальную возможности расширения списка культивируемых орехоплодных, с учетом риска их повреждения в отдельные сезоны с экстремальными метеоусловиями. Однако важным моментом является то, насколько успешно в новых природно-климатических условиях растения-интродуценты проходят фазы своего развития, включая генеративную. Изучение качества формируемых плодов и семян представляет важную часть программы биоэкологических исследований растений-интродуцентов.
В мировом производстве орехов, как можно судить из доступных данных статистической базы FAO, лидируют кокосовый орех и арахис («земляной орех») (рис. 1), тогда как орех грецкий представляет лишь 3% в мировом объеме выращиваемых орехов [5].
Статистические данные свидетельствуют о том, что в последние 50 лет площади, отведенные под насаждения ореха грецкого, в мире выросли более чем в 8 раз, а количество производимых плодов – почти в 7 раз (рис. 2).
Причинами, обеспечившими ореху грецкому его растущую популярность, являются не только приятный вкус его семян («ядра»), широко используемых в пищу непосредственно и в качестве компонента различных продуктов [2; 6], но и особенности их химического состава. В ядре грецкого ореха содержатся витамины и важные микроэлементы, оно исключительно богато липидами ценного состава, что определяется присутствием ненасыщенных жирных кислот – таких как линолевая (60%), олеиновая (15%), пальмитиновая, пальмитоленолевая, линоленовая, арахиновая, гондоинновая (эйкозеновая) [7, с. 773–780; 8, с. 133–147].
Предполагается, что изначально природный ареал ореха грецкого был приурочен к горным районам центральной части Евразии [4, с. 1–28.]. С другой стороны, в геологическом прошлом Земли распределение представителей рода Орех (Juglans L.) существенно отличалось от современного. Так, насколько можно судить по данным споропыльцевого анализа, в верхнем плиоцене, а позднее, при возврате термической обеспеченности – в налибокском межледниковье, виды родов Juglans и Carya участвовали в формировании лесных экосистем вплоть до территории современного Среднего Поволжья [9; 10; 11, с. 376–406; 12, с. 3–15; 13, с. 665–667]. Усилиями человека орех грецкий много столетий назад распространился на Кавказ, в Крым, на Балканский полуостров, в другие районы Европы и Азии, вышел за пределы Евразии [14, с. 21–31; 15, с. 249–273]. Поэтому определить изначальные границы природного ареала ореха грецкого достаточно сложно, поскольку в районах его длительного возделывания он вторично внедрился в природные экосистемы. Леса из дикорастущего ореха грецкого сохраняются в горах средней Азии (Южная Киргизия) [16]. Будучи культурой умеренных широт [17, с. 285–287], в настоящее время орех грецкий занимает наибольшие площади возделывания в Азии (63%), тогда как в странах Европы его насаждения составляют лишь 11% от мировых показателей (рис. 3). Отметим, кстати, что в базе данных ФАО Российская Федерация среди стран, промышленно выращивающих орех грецкий, не представлена [5].
Орех грецкий распространен по всему миру и произрастает на разных континентах в условиях умеренного климата [18, с. 531]. Его возделывание как ценной древесной культуры связано с получением не только ценной пищевой продукции, но также фармакологического сырья и ценной древесины. Внедрение ореха грецкого в районы, не входящие в его естественный ареал, продолжается и сейчас благодаря усилиям специалистов, работающих в области интродукции и селекции, а также энтузиастов-любителей, предпринимающих попытки выращивания этой ценной культуры на своих садовых участках.
Краткие итоги интродукции ореха грецкого в Ботаническом саду Самарского университета
Интродукция видов рода Juglans L. (орехов) в ботанический сад Самарского университета была начата в 1930-х годах. В эти годы одной из целей формирования дендрологической коллекции на территории Самарской области являлось внедрение новых видов растений, включая обладающий ценной древесиной и плодами с высокими питательными и вкусовыми свойствами орех грецкий, в лесонасаждения и сады области. Коллекция орехов создавалась из образцов семян, поступивших из различных географических пунктов (Саратов, Волгоград, Ставрополь, Крым, Украина, Молдавия, Киргизия, Узбекистан и др.).
Интродукционное изучение грецкого ореха на территории Самарской (с 1936 по 1992 гг. – Куйбышевской) области сталкивалось с климатическими сложностями, но всегда возобновлялось. Так, в 1952 г. было принято решение начать более масштабное изучение грецкого ореха в условиях Куйбышевской области. Аргументом при выборе данной культуры послужило то обстоятельство, что грецкий орех уже встречался в садах любителей садоводов области, имелись молодые экземпляры в саду, но обобщения этого опыта, равно как и систематической работы по изучению его в области, никем не проводилось. Была поставлена задача детально разработать приемы повышения его зимостойкости. Для этого в 1952–1953 гг. В.Е. Отвиновской был поставлен опыт по выявлению действия отдельных элементов минерального питания на повышение зимостойкости ореха грецкого. К сожалению, в зиму 1954–1955 гг. почти все эти сеянцы (в количестве 164 шт.) вымерзли и на этом работа была приостановлена, но попытки вырастить более устойчивые растения продолжались.
Рисунок 1 – Структура мирового производства орехов в 2019 г. (всего – 145499566 т) (построено авторами по данным статистической базы FAO [5])
Рисунок 2 – Динамика мировой продукции ореха грецкого за 1970–2019 гг. (построено авторами по данным статистической базы FAO [5]). Примечание. Подписи данных при крайних точках отражают объем плодов ореха грецкого, млн т, в 1970 и 2019 гг. соответственно
Рисунок 3 – Распределение площадей, занятых культурой ореха грецкого, по частям света в 2019 г. (построено авторами по данным статистической базы FAO [5]). Примечание. Для частей света указаны: площадь насаждений ореха, га; доля от суммарной площади, %
В 1996 году с нескольких оставшихся орехов, посаженных в 1952 году, которые были выращены из семян, полученных из Ставрополя, удалось собрать вызревшие плоды. В результате посева было получено 20 саженцев, из которых сохранилось 9 взрослых экземпляров деревьев.
Орех грецкий скороплодной формы в ботаническом саду впервые появился в конце 1950-х годов. Старший научный сотрудник Бостандыкского опытного поля (Узбекистан) С.С. Калмыков прислал семена 2 сортов скороплодной формы ореха грецкого: Идеал и Орипов, несколько экземпляров плодоносящих деревьев сохранились по настоящее время. В 1987 году из Центрального ботанического сада АН Украинской ССР были получены еще 6 разных образцов скороплодной формы грецкого ореха.
В настоящее время в коллекции ореха грецкого насчитывается около 900 экземпляров генотипов различного происхождения: Самара и область, Саратов, Волгоград, Ставрополь, Крым, Украина, Молдавия, Киргизия, Узбекистан. Все они являются естественными гибридами на собственных корнях, поэтому из-за размножения семенами вся популяция весьма неоднородна. В результате интродукционного изучения орехов собран обширный материал, относящийся к устойчивости и структурно-функциональным особенностям орехов [19, с. 172–176; 20; 21, с. 283–286].
Проводится также детальное изучение качества формируемых плодов, включая особенности их химического состава [22, с. 52–56]. К настоящему времени среди экземпляров коллекции ореха грецкого выявлен ряд генотипов, которые отличаются стабильно высокими процентным содержанием ядра, раскалываемостью ореха, извлекаемостью ядра и его вкусовыми качествами. На генотипы № 110 и № 126, как еще и самых зимостойких, подана заявка на патентование сортов Самарец и Волжанин.
Как известно, формируемые растениями семена никогда жестко не соответствуют набору единых эталонных параметров, а демонстрируют варьирование структурно-функциональных признаков, что соответствует проявлению гетерокарпии (гетероспермии). Далее, в процессе сбора и хранения семена подвергаются воздействию различных факторов, что нередко становится причиной появления дефектов и аномалий. При формировании плодов высокого качества часть урожая орехов бывает представлена плодами с недостаточной выполненностью ядра, что может быть незаметно внешне.
Оценка качества семенного материала с выявлением его дефектности традиционно достаточно трудоемка, времезатратна, особые затруднения связаны с выявлением внутренних дефектов структуры семени, часто не проявляющихся на его поверхности [24, с. 40–43]. Одним из наиболее перспективных методов регистрации скрытых дефектов в семенном материале, обладающих твердыми покровами, является метод микрофокусной рентгеноскопии [23, с. 137–153], дающий возможности визуализации всех внутренних структур семени (и, соответственно, их аномалий) без разрушения. Рентгенографический анализ – эффективный метод контроля качества семян, позволяющий получить принципиально новую информацию об их внутренних свойствах, в совокупности с другими методами (морфофизиологическим, биохимическим, люминесцентным и др.) он обеспечивает более высокий уровень экспертной оценки качества семян [25, с. 36–40; 26].
Приобретение в 2020 г. для вновь создаваемой научно-исследовательской лаборатории инновационных методов изучения и сохранения биологического разнообразия Самарского университета в рамках федерального проекта «Развитие передовой инфраструктуры для проведения исследований и разработок в Российской Федерации» комплекса специализированного лабораторного оборудования открыло перед нами новые возможности исследования семян и плодов, в том числе древесных растений. Главной частью функционального комплекса оборудования лаборатории является уникальная рентгенодиагностическая установка отечественного производства модели ПРДУ для неповреждающего сканирования семян (рис. 4), разработанная отечественными специалистами, что позволило нам начать исследование внутренней структуры семян неповреждающим методом цифровой микрофокусной рентгенографии. Данный метод уже включен в международные стандарты, в первую очередь для оценки заражения и повреждения зерна вредителями [27; 28; 29; 30, с. 269–309]. Имеется опыт его применения при изучении качества плодов и семян, формируемых растениями-интродуцентами в ботанических садах, в том числе российских [31, с. 16–19; 32, с. 75–80; 33, с. 52–66].
Рисунок 4 – Общий вид рентгеноскопической установки ПРДУ
Первичные результаты изучения рентгеноскопического качества семян различных растений, выполненные в краткий отрезок времени в тестовом варианте, представлены в публикациях [34, с. 207–211; 35; 36, с. 99–103; 37, с. 48–58]. В качестве объектов в них рассматриваются семена травянистых (виды рода Ирис, Пион) и древесных растений (липы, катальпы). Данная публикация представляет результаты тестового рентгеноскопического скрининга плодов ореха грецкого урожая 2021 года, сформированных экземплярами взрослых растений из дендрологической коллекции ботанического сада Самарского университета.
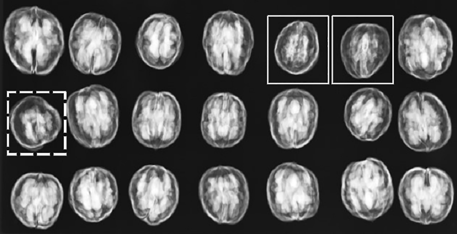
Исследование семян ореха грецкого для тестовых проб проводили методом цифровой микрофокусной рентгеноскопии. Использовались семена, полученные от 16 деревьев разных лет посадки, включая 1 дерево – первого, 6 – второго, 9 – третьего поколения, 6 – обычной и 9 – скороплодной формы (общее количество семян 538), проводили методом цифровой микрофокусной рентгеноскопии. Применяемый метод включен в международные стандарты, в первую очередь позволяет выполнять оценку заражения и повреждения семян вредителями [28]. Конструктивно установка ПРДУ включает защитную камеру для проведения рентгенографии, моноблочный источник рентгеновского излучения РАП70М-0,1Н-1, приемник рентгеновского изображения на основе многофункционального портативного плоскопанельного детектора рентгеновского излучения ViVIX-S для цифровой рентгенографии. Управление осуществляется с компьютеризированного пульта с универсальным программным обеспечением MicroCT-PRDU для анализа цифровых рентгеновских изображений семян (рис. 4). На установке возможно получение изображений с геометрическим увеличением ×3,0 [25]. В программном обеспечении MicroCT-PRDU перед исследованием регулируются следующие параметры: анодное напряжение, время экспозиции. Диапазон изменения анодного напряжения нашей модели составляет 30–50 кВ, анодный ток 0,1 мА. Процесс проведения рентгеноскопического скрининга проводили в соответствии с описанным ранее алгоритмом [34, с. 207–211]. Отличие от процедуры, применявшейся для семян меньшего размера, заключалось в размещении пластиковых планшетов с испытуемыми пробами орехов непосредственно на поверхность детектора (он располагается на дне защитной камеры). В течение 10 с изображение выводилось на экран монитора, после чего выполнялась корректировка контраста и четкости изображения, как правило, в двух вариантах – позитивном и негативном. На изображениях обоих типов хорошо различались семена с выполненным ядром (рис. 5: А) и семена, в которых полноценное ядро не было развито (рис. 5: Б). Изображения сохранялись jpg-файлах, что обеспечивало возможность дальнейшей работы с ними.
Для каждого из полученных снимков выполняли визуальный анализ, направленный на выявление и подсчет в анализируемой группе диаспор дефектных единиц (рис. 6). Результаты подсчета заносили в таблицу Excel, далее проводили математическую обработку, по результатам которой были построены соответствующие диаграммы.
Рисунок 5 – Примеры рентгеноскопических изображений ореха грецкого: А – семена с полноценно развитым ядром, Б – семена с практическим отсутствием либо недоразвитием ядра. Примечание. В каждой паре изображений первое – позитив, второе – негатив
Рисунок 6 – Участок рентгеноскопического снимка пробы семян ореха грецкого. Квадратами отмечены семена с различной выраженностью недоразвития ядра
Результаты и их обсуждение
Предварительное рентгеноскопическое изучение семян ореха грецкого для группы тестовых проб урожая 2021 года, полученных от различных экземпляров деревьев из коллекции ботанического сада Самарского университета, дало обнадеживающие результаты как в плане неповреждающей экспресс-оценки качества орехов, так и для их ускоренной «сортировки». Хорошо известно, что визуальная оценка орехов не всегда позволяет выявить их несформированность, а вскрытие скорлупы для осмотра ядра делает семя непригодным для будущего посева либо закладки в семенной банк. Рентгеноскопический снимок семян ореха грецкого достаточно хорошо визуализирует внутреннюю структуру каждого семени и позволяет быстро проанализировать качество выборки в целом. При размещении орехов на планшетах с маркированными ячейками в соответствии с полученным рентгеноскопическим снимком мы смогли в считанные секунды отбраковать некачественные диаспоры и в дальнейшем работать только с полноценным материалом.
Общие результаты выполненного скрининга орехов урожая 2021 г. для 16 экземпляров взрослых деревьев различного возраста, относящихся к обычной и скороплодной формам, а также полученных посевом семян собственной генерации (1 поколение), семян их потомков (2 поколение) и семян от особей 2 поколения (3 поколение) представлены на рис. 7–9. Кратко прокомментируем их. Во-первых, для сформированных в 2021 году орехов доля дефектных диаспор изменялась в диапазоне от 0 (отсутствие) до 13% (максимум). При этом непосредственной связи с возрастом экземпляров деревьев данный показатель, на первый взгляд, не обнаруживал (рис. 7). Мы можем предположить, что в условиях аномально жаркого и засушливого сезона экземпляры деревьев ореха разного возраста оказались в условиях неодинаковой стрессовой нагрузки в зависимости от их локализации в насаждениях. Не исключены также проявления индивидуальных особенностей семеношения данных экземпляров, что требует привлечения данных за другие годы.
По принадлежности деревьев, сформировавших семена, к обычной либо скороплодной формам семеношения (рис. 8) можно заметить, что средний показатель доли дефектных семян для скороплодной формы был ниже, что сочеталось с более выраженной изменчивостью показателя.
Доля дефектных семян в урожае деревьев, относящихся к разным поколениям (рис. 9), показала наибольшую изменчивость показателя для деревьев второго поколения (выращены из семян, полученных от деревьев 1 поколения собственной генерации). По сравнению с ними деревья следующего поколения (их дети) сформировали семена, среди которых доля дефектных не превышала 10%.
Рисунок 7 – Доля дефектных семян в пробах орехов, сформированных в 2021 г. экземплярами деревьев различных лет посадки
Рисунок 8 – Доля дефектных семян ореха грецкого среди образцов от деревьев обычной и скороплодной форм созревания
Рисунок 9 – Доля дефектных семян ореха грецкого в соответствии с генеалогией сформировавших их деревьев
Заключение
Таким образом, предварительный рентгеноскопический скрининг образцов семян ореха грецкого урожая 2021 года, выполненный для урожая от деревьев различного возраста и «генеалогии», относящихся к обыкновенной и ускоренной формам плодоношения, продемонстрировал перспективность данного метода исследований для оценки качества орехов. Плотная оболочка семени и особенности его внутренней структуры не являются преградой для выявления степени развития ядра. Поскольку работа выполнялась для хранившихся непродолжительное время семян, фактов их повреждения насекомыми не отмечено, но можно предположить, что данная форма ухудшения качества семян также может быть визуализирована при проведении рентгеноскопии. Полученные результаты открывают возможности неповреждающей экспресс-оценки качества орехов, как специфического семенного материала, в целях селекции и детального изучения их структурных особенностей. Возможно также проведение ускоренной выбраковки дефектных диаспор орехов при подготовке партий семенного материала для последующей закладки на хранение, подготовки для посева на лесопитомниках и реализации населению.
About the authors
Aleksandr Vladimirovich Pomogaybin
Samara National Research University
Email: botaniksad@yandex.ru
candidate of biological sciences, deputy director of Botanical Garden
Russian Federation, SamaraPolina Vladimirovna Rodionova
Samara National Research University
Email: polina-rodionova-1996@mail.ru
postgraduate student of Ecology, Botany and Nature Protection Department
Russian Federation, SamaraLyudmila Mikhailovna Kavelenova
Samara National Research University
Author for correspondence.
Email: lkavelenova@mail.ru
doctor of biological sciences, professor, head of Ecology, Botany and Nature Protection Department
Russian Federation, SamaraReferences
- Van der Wall S.B. The evolutionary ecology of nut dispersal // The Botanical Review. 2001. Vol. 67, № 1. P. 74-104.
- Стрела Т.Е. Орех грецкий. Киев: Наук. думка, 1990. 192 с.
- Pycia K., Kapusta I., Jaworska G., Jankowska A. Antioxidant properties, profile of polyphenolic compounds and tocopherol content in various walnut (Juglans regia L.) varietis // European Food Research and Technology. 2019. Vol. 245. P. 607-616. doi: 10.1007/s00217-018-3184-3.
- Bernard A., Lheureux F., Dirlewanger E. Walnut: past and future of genetic improvement // Tree Genetics & Genomes. 2018. Vol. 14, № 1. P. 1-28. doi: 10.1007/s11295-017-1214-0.
- Food and Agriculture Organization of the United Nations. FAOSTAT. Crops and livestock products [Internet] // https://www.fao.org/faostat/en/#data/QCL.
- Алексеев Ю.Е., Жмылев П.Ю., Карпухина Е.А. Деревья и кустарники. Энциклопедия природы России. М.: Издательство «ABF», 1997. 592 с.
- Krist S. Walnut oil // Vegetable Fats and Oils. Springer, Cham, 2020. P. 773-780. doi: 10.1007/978-3-030-30314-3_120.
- Fregapane G., Ojeda-Amador R.M., Salvador M.D. Virgin walnut (Juglans regia L.) oil // Fruit oils: chemistry and functionality / ed. M. Ramadan. Springer, Cham, 2019. P. 133-147. doi: 10.1007/978-3-030-12473-1_5.
- Гричук В.П. История флоры и растительности Русской равнины в плейстоцене. М.: Наука, 1989. 183 с.
- Кузнецова Т.А. Флора верхнеплиоценовых отложений Среднего Поволжья и ее стратиграфическое значение // Труды Казан. фил. АН СССР. Сер. геол. наук. Вып. 10. Казань, 1964. 166 с.
- Клоков М.В. Основные этапы развития равнинной флоры европейской части СССР // Материалы по истории флоры и растительности СССР. Вып. 4. М.-Л.: Изд-во АН СССР, 1963. С. 376-406.
- Денисенко Н.П. Исторические этапы развития растительного покрова на территории современного Заволжья и района Самарской Луки // Ботаника и сельское хозяйство: Учёные записки Куйбышевского педагогического института. Вып. 35. Куйбышев, 1961. С. 3-15.
- Дорофеев П.И. О плиоценовой флоре Самарской Луки // Доклады АН СССР. 1956. Т. 110, № 4. С. 665-667.
- Germain E. Genetic improvement of the Persian walnut (Juglans regia L.) // Acta Horticulture. 1997. Vol. 442. P. 21-31.
- McGranahan G., Leslie Ch. Breeding walnuts (Juglans regia) // Breeding Plantation Tree Crops: Temperate Species. Springer Sciences Business Media, 2009. P. 249-273.
- Губанов И.А., Крылова И.Л. Дикорастущие полезные растения СССР. М.: Мысль, 1976. 360 с.
- Броувер В., Штелин А. Справочник по семеноведению сельскохозяйственных, лесных и декоративных культур с ключом для определения важнейших семян / пер. с нем. В.И. Леунова. М.: Т-во научных изданий КМК, 2010. 694 с.
- Биганова С.Г., Сухоруких Ю.И., Луговской А.П. Современные тенденции селекции ореха грецкого в России // Современные проблемы науки и образования. 2015. № 2. С. 531.
- Помогайбин А.В. Биоэкологические особенности представителей родового комплекса Орех (Juglans) при интродукции в условиях Среднего Поволжья (г. Самара) // Вестник Самарского государственного университета. Естественнонаучная серия. 2006. № 7 (47). С. 172-176.
- Помогайбин А.В. Эколого-биологический анализ результатов интродукционных испытаний видов рода Орех (Juglans L.) в лесостепи Среднего Поволжья: автореф. дис. … канд. биол. наук. Тольятти, 2008. 16 с.
- Помогайбин А.В. Итоги интродукции представителей родового комплекса Juglans L. в лесостепи Среднего Поволжья // Проблемы современной дендрологии: мат-лы междунар. науч. конф. М.: Т-во научных изданий КМК, 2009. С. 283-286.
- Родионова П.В., Помогайбин А.В., Кавеленова Л.М. Оценка изменчивости показателя содержания липидов в ядре плодов Ореха грецкого (Juglans regia L.) при интродукции в Ботаническом саде Самарского университета // Вестник молодых ученых и специалистов Самарского университета. 2018. № 12. С. 52-56.
- Никольский М.А., Грязнов А.Ю., Жамова К.К. Мировой опыт использования интроскопических методов исследования в сельскохозяйственной биологии // Наука. Техника. Технологии (Политехнический вестник). 2015. № 2. С. 137-153.
- Архипов М.В., Великанов Л.П., Желудков А.Г., Гусакова Л.П., Алферова Д.В., Потрахов Н.Н., Прияткин Н.С. Возможности биофизических методов в агрофизике и растениеводстве // Биотехносфера. 2013. № 6 (30). С. 40-43.
- Архипов М.В., Демьянчук А.М., Гусакова Л.П., Великанов Л.П., Алферова Д.В. Рентгенография растений при решении задач семеноведения и семеноводства // Известия СПбГАУ. 2010. № 19. С. 36-40.
- Архипов М.В., Алексеева Д.И., Батыгин Н.Ф. и др. Методика рентгенографии в земледелии и растениеводстве. М.: РАСХН, 2001. 102 с.
- Архипов М.В., Потрахов Н.Н. Микрофокусная рентгенография растений. СПб.: Технолит, 2008. 194 с.
- Потрахов Н.Н., Труфанов Г.Е., Васильев А.Ю. и др. Микрофокусная рентгенография. СПб.: ЭЛБИ, 2012. 80 с.
- Рентгенографический анализ качества семян овощных культур: метод. указания. СПб.: Изд-во СПбГЭТУ «ЛЭТИ», 2015. 42 с.
- Hernandez-Sanchez N., Moreda G.P., Herrero-Langreo A., Melado-Herreros A. Assessment of internal and external quality of fruits and vegetables // Imaging Technologies and Data Processing for Food Engineers. Cham: Springer, 2016. P. 269-309. doi: 10.1007/978-3-319-24735-9_9.
- Староверов Н.Е., Грязнов А.Ю., Жамова К.К., Ткаченко К.Г., Фирсов Г.А. Применение метода микрофокусной рентгенографии для контроля качества плодов и семян репродуктивных диаспор // Биотехносфера. 2015. № 6 (42). С. 16-19.
- Ткаченко К.Г., Фирсов Г.А., Грязнов А.Ю., Староверов Н.Е. Качество репродуктивных диаспор видов рода Яблоня (Malus Mill.), интродуцированных в Ботаническом саду Петра Великого // Вестник Удмуртского университета. Серия Биология. Науки о Земле. 2015. Т. 25, вып. 4. С. 75-80.
- Ткаченко К.Г., Староверов Н.Е., Грязнов А.Ю. Рентгеноскопическое изучение качества плодов и семян // Hortus Botanicus. 2018. Т. 13. С. 52-66.
- Землянова В.Е., Жавкина Т.М., Помогайбин А.В., Кавеленова Л.М., Родионова П.В., Розно С.А., Янков Н.В., Потрахов Н.Н. О возможностях экспресс-оценки качества плодов и семян древесных растений с помощью рентгенографического скрининга // Экобиотех 2021: мат-лы VII всерос. конф. с междунар. участием, г. Уфа, 4-7 октября 2021 г. Уфа: УИБ УФИЦ РАН, 2021. С. 207-211.
- Kavelenova L., Roguleva N., Yankov N., Ruzaeva I., Pavlova E., Nakrainikova D., Potrachov N. Assessment of the quality of seeds formed in situ and ex situ as a mandatory element of maintaining seed banks of rare plants // E3S Web of Conference, Actual Problems of Ecology and Environmental Management (APEEM 2021). 2021. Vol. 265. doi: 10.1051/e3sconf/202126505012.
- Землянова В.Е., Кавеленова Л.М., Накрайникова Д.Д., Павлова Е.А., Помогайбин А.В., Рогулева Н.О., Родионова П.В., Розно С.А., Рузаева И.В., Янков Н.В. К перспективам использования рентгенографической экспресс-оценки качества семян в биомониторинге и сохранении биоразнообразия // Биодиагностика состояния природных и природно-техногенных систем: мат-лы ХIX всерос. науч.-практ. конф. c междунар. участием. Киров, 2021. С. 99-103.
- Рогулева Н.О., Янков Н.В. Контроль жизнеспособности семян Murraya paniculata (L.) Jack // Вестник Оренбургского государственного педагогического университета. Электронный научный журнал. 2021. № 3 (39). С. 48-58.
Supplementary files










